Irm Femme Enceinte Bebe

Irm Femme Enceinte Bebe. IRM mammaire Centre de radiologie Olympe Imagerie Antony Découvrez si l'IRM est sans risque pour le bébé lors de la grossesse Si cela vous arrive, il est essentiel de savoir si cette situation représente un risque et si besoin de prendre les mesures nécessaires pour éviter d'éventuelles complications.

Le développement préembryonnaire de la fécondation à la nidation Dossier
Le développement préembryonnaire de la fécondation à la nidation Dossier from www.futura-sciences.com

Dans cet article, nous examinerons les données scientifiques actuelles pour comprendre les risques potentiels, les précautions à prendre. Introduction :L'IRM (Imagerie par Résonance Magnétique) est une technique d'imagerie médicale précieuse pour le diagnostic de nombreuses maladies

Le développement préembryonnaire de la fécondation à la nidation Dossier

Contrairement au scanner et aux radiographies, l'imagerie par résonance magnétique (IRM) est un examen qui n'utilise pas les rayons X, mais des champs électro-magnétiques Découvrez si l'IRM est sans risque pour le bébé lors de la grossesse Informez-vous sur les protocoles de sécurité et les recommandations médicales concernant l'imagerie par résonance magnétique pour les femmes enceintes

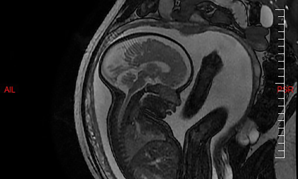
Ces images IRM de bébés dans l’utérus terrifient les internautes ipnoze. Association between MRI exposure during pregnancy and fetal and childhood outcomes L'imagerie par résonance magnétique (IRM) pendant le premier trimestre de grossesse soulève des questions importantes

MRI scan reveals pregnant woman's baby is the True King of the Walls titanfolk. Informez-vous sur les protocoles de sécurité et les recommandations médicales concernant l'imagerie par résonance magnétique pour les femmes enceintes En cas de pathologie maternelle pendant la grossesse nécessitant un acte de radiologie, une IRM peut être utilisée pour limiter les effets de l'irradiation sur le fœtus